

TMS智能導航機器人
英智TMS-PRO-ROB智能導航機器人系統是集醫學成像技術、圖像處理技術、定位導航技術、智能機器人技術與經顱磁刺激技術與一體的智能導航系統,可為TMS技術提供先進的精準定位導航服務。
1N力反饋
精確到1N的六軸力反饋傳感器,確保協作機器人智能定位和跟隨運動的安全性。
智能追隨
集成近紅外雙目視覺定位技術與協作機器人的智能跟隨系統,確保每一個脈沖刺激到同一靶點,實現精準的重復經顱磁刺激。
多靶點刺激
可自動根據預設方案依次定位靶點進行刺激,滿足多部位腦區刺激治療方案。
自動閾值檢測
內設智能陣列刺激模式,可一鍵完成MEP檢測,提高診療效率。

可解決臨床難題
認知神經研究復雜
可快速協助解決腦功能連接研究難題(結構連接及功能連接),更易探究兩段不同腦區BOLD序列在時間維度上的相關程度。
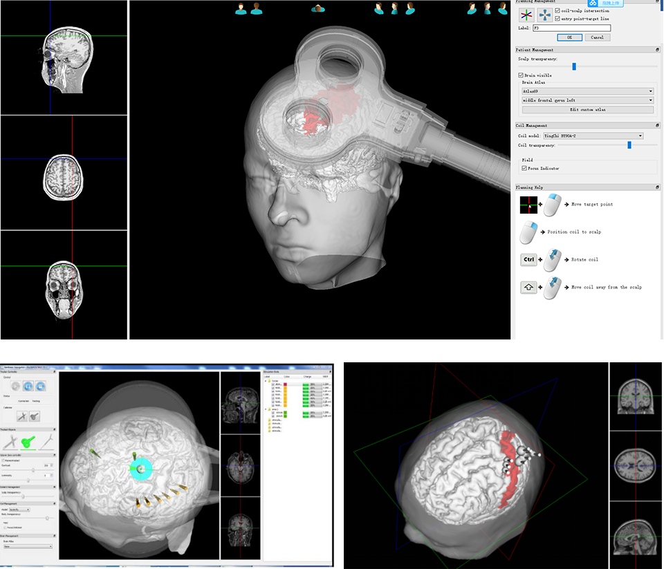
靶點不夠精準
可有效解決腦功能區個體差異性較大、大腦功能區域劃分不夠、精準顱腦大小不同、個體閾值不同等難題。
定位操作困難
可有效解決首次治療定位困難、技師手持角度偏差、治療過程中患者頭部移動導致“脫靶”等難題。
治療方案不夠權威
內置治療方案來源權威循證依據,方案可靠,治療效果有保證。
療效無法評估
可有效解決多次重復治療無法確保刺激同一位置,刺激效果無法實時反饋等難題。
治療效率低
可有效解決單一線圈治療效果的局限性、手持操作過程帶來誤差影響患者治療等難題。
